الأردن .. إنقاذ حياة مريضة عشرينية من حالة نادرة
17-07-2023 12:06 PM
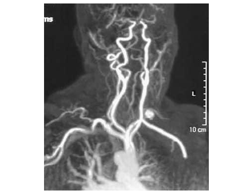
السوسنة - تمكن فريق الأشعة التداخلية في مستشفيات البشير من إنقاذ حياة مريضة عشرينية كانت تعاني من كيس دموي نازف في أحد أفرع الشريان تحت الترقوة الأيسر.
وقال الأستاذ الدكتور في الاشعة التداخلية موفق الحيص إنه تم وضع مجموعة من الحلقات في الكيس الدموي أدت إلى إغلاق الكيس الدموي بالكامل.
وأضاف الحيص أنه تم التأكد من إغلاق الشريان بالكامل ومتابعة المريضة من خلال إجراء قسطرة بعد ٦ شهور من وضع الحلقات ومن خلال التصوير التلفزيوني الملون و الفحص السريري الذي يبين ان جميع شرايين الطرف السفلي محسوسة مسموعة.
ولفت الدكتور الحيص أن هذه الحالة من الحالات النادرة في العالم.
الثقافة ذاكرة الأجيال وجسر الهوية عبر الزمن
العطر على الرقبة .. عادة جمالية قد تضر الجلد
إنستغرام توسع قواعد الأصالة وتعاقب حسابات سرقة المحتوى
إيفرتون يعرقل السيتي ويمنح هدية ثمينة لأرسنال
إطلاق هاتف Xever 8 المصفح بكاميرات رؤية ليلية لعشاق المغامرة
روما يشدد ضغطه على يوفنتوس في سباق التأهل لدوري الأبطال
سموتريتش يشارك المستوطنين الرقص أمام الحرم الإبراهيمي بالضفة
ترامب يتوقع انخفاض أسعار الوقود بعد انتهاء حرب إيران
المخابرات الأميركية تشير إلى أضرار محدودة ببرنامج إيران النووي
إصابة عسكريين لبنانيين اثنين جراء استهداف إسرائيلي جنوبي البلاد
هيئة البث: مساع أمريكية لجولة مفاوضات جديدة بين لبنان وإسرائيل
مصدر أمني: إطلاق نار على ثلاثة أشقاء في الرصيفة
زيلينسكي يعلن هدنة مؤقتة اعتبارا من 6 مايو ويدعو روسيا للالتزام
دوي إطلاق نار قرب البيت الأبيض
بن سلمان يؤكد تضامن السعودية مع الإمارات ضد الاعتداءات الإيرانية
السيلاوي يبث رسالة استغاثة من المستشفى ماذا يحدث .. صورة
وفاة الطالب حمزة الرفاعي بحادث سير
إعادة تشريح جثمان ضياء العوضي بأمر النائب العام لكشف ملابسات الوفاة
اللحظات الأخيرة من حياة هاني شاكر وسبب الوفاة
سبب وفاة هاني شاكر تهز مواقع التواصل
أساء للإسلام وتبرأ منه والده .. ماذا ينتظر السيلاوي عند عودته للأردن
بعد تصريحات السيلاوي المسيئة .. بيان صادر عن الإفتاء العام
القوات المسلحة تنفذ عملية "الردع الأردني" ضد تجار السلاح والمخدرات
وفاة ثانية بحادث جمرك العقبة المؤسف
مهم للمواطنين بشأن تعديلات الترخيص
مسؤول أميركي يعلن انتهاء الهجمات على إيران .. ما السبب
تنكة بنزين 90 أصبحت بـ20 دينارًا .. تعرّف على الأسعار
مشاهد جديدة من محاولة اغتيال ترامب .. فيديو
زيادة كوادر مستشفى الأميرة بسمة من 1241 إلى 1697 منذ افتتاحه