علامة صغيرة لسرطان الرئة يمكن رؤيتها على اليد اليمنى
20-03-2023 08:50 AM
السوسنة - تشير التقارير الطبية إلى أن سرطان الرئة هو السبب الرئيسي الأول للوفيات الناتجة عن السرطان حول العالم.
ويعد المدخنون الأكثر عرضة للإصابة بسرطان الرئة، رغم أن المرض يمكن أن يصيب أيضا أولئك الذين لم يدخنوا مطلقا.
ولا يتسبب سرطان الرئة عادة في ظهور أعراض في مراحله الأولى. ومع تقدم الحالة، يمكن أن تبدأ العلامات التحذيرية في الظهور.
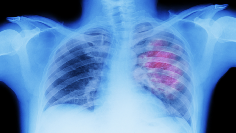
أوضح طبيب الأورام السريري الدكتور نيل بايمان أن تكاثر الخلايا غير الطبيعية يمكن أن يشكل كتلة في الرئة، تعرف باسم الورم.
وأشار الدكتور بايمان إلى أن هناك نوعين رئيسيين من سرطان الرئة، الأول هو سرطان الرئة ذو الخلايا غير الصغيرة، وهو النوع الأكثر شيوعا ويمثل 90% من الحالات.
وتشمل سرطانات الرئة ذات الخلايا غير الصغيرة سرطان الخلايا الحرشفية والسرطان الغُدّي وسرطان الخلايا الكبيرة.
ويُعرف النوع الثاني بسرطان الرئة ذي الخلايا الصغيرة، والذي يمكن أن يمثل 10% أو أكثر من الحالات.
ويمكن أن تشمل مؤشرات الإصابة بسرطان الرئة "تعجر الأصابع" في اليد اليمنى، كما تشير مؤسسة Macmillan Cancer Support.
ويوصف تعجر الأصابع بـ"أن أطراف الأصابع تصبح أكثر انحناء أو أكبر حجماً". ويمكن أن تتضخم نهايات أطراف الأصابع في أي من اليدين، إلا أنها تحدث غالبا في اليد اليمنى.
ويُعتقد أن تعجّر الأصابع ناتج عن زيادة تدفق الدم إلى منطقة الأصابع، ما يؤدي إلى تراكم السوائل في الأنسجة الرخوة في أطراف الأصابع، ولكن ليس من الواضح تماما سبب حدوث ذلك.
وتميل التغييرات في الظفر إلى الحدوث على مراحل، حيث تصبح قاعدة الظفر ناعمة ويصبح الجلد بجوار فراش الظفر لامعا قبل أن تبدأ الأظافر في الانحناء أكثر من المعتاد.
ويمكن أن تشمل علامة أخرى "أقل شيوعا" لسرطان الرئة "ألما في الكتف ينزل أسفل الذراع".
وبشكل أكثر شيوعا، قد تبدو أعراض سرطان الرئة كما يلي:
- سعال لمدة ثلاثة أسابيع أو أكثر
- عدوى في الصدر لا تتحسن، أو عدوى متكررة في الصدر
- الشعور بضيق التنفس والصفير دون سبب
- سعال الدم
- ألم في الصدر أو الكتف لا يتحسن
- صوت أجش لمدة ثلاثة أسابيع أو أكثر
- فقدان الشهية
- فقدان الوزن من دون سبب واضح
- الشعور بالتعب
182 شهيداً في حصيلة غير نهائية لأعنف غارات إسرائيلية على بيروت .. فيديو
ترامب يعلن فرض رسوم جمركية 50% على أي دولة تمد إيران بالسلاح
توقيف نحو 200 شخص في تركيا بعد الهجوم على القنصلية الإسرائيلية
إيران تغلق مضيق هرمز بالكامل وناقلات النفط تعود أدراجها
حسان يؤكد تضامنه مع لبنان ورفض العدوان الإسرائيلي
ترامب يهشم صورة أميركا : جيوسياسية "هرمز" .. والدول الوسطاء تفرض كلمتها
البيت الأبيض: ترامب يضغط لمعاودة فتح مضيق هرمز دون رسوم
الإمارات تطالب بـمساءلة إيران وتعويض عن الأضرار والخسائر
قاليباف: ثلاثة انتهاكات لمقترح النقاط العشر تقوّض وقف إطلاق النار
إعادة فتح الأماكن المقدسة في القدس اعتبارًا من الخميس
الارتياح يتحول قلق بعد الهدنة مع قصف إسرائيل للبنان وإيران لجيرانها
ترامب: لبنان ليس جزءا من اتفاق وقف إطلاق النار مع إيران
واشنطن: الوثيقة الإيرانية المتداولة لا تعكس الاتفاق الفعلي مع البيت الأبيض
الاتحاد الأوروبي : نأمل بدء مشروع الناقل الوطني قريبا
الصفدي: المفاوضات يجب أن تنتج تهدئة دائمة تعالج أسباب التوتر وتعزز الاستقرار
بدء مهاجمة محطات الكهرباء الإيرانية .. وطهران تهدد بإغراق المنطقة بالظلام .. فيديو
مستشفى الجامعة يكشف تفاصيل حادثة سقوط أحد الأطباء المقيمين
وفاة سيدة ضرباً على يد زوجها في عمّان
12 إصابة بضيق تنفس في العقبة والأمن العام يوضح
هذه المناطق على موعد مع أمطار غزيرة اليوم
هجوم مزدوج على الكيان، والصواريخ تُغرق حيًّا يهوديًا بالمجاري .. شاهد
الكويت .. انقطاع جزئي للكهرباء في محافظة الجهراء
تطورات بقضية استشهاد 3 من مرتبات إدارة مكافحة المخدرات
يوم طبي مجاني لعلاج الأسنان في الكلية الجامعية العربية للتكنولوجيا
الأمن العام: العثور على شخص مفقود في الطفيلة
الخرابشة: لا رفع لأسعار الكهرباء حالياً
الأردن يدين الإساءات للمملكة خلال تجمّع في دمشق
موجة غبار تؤثر على مناطق واسعة من المملكة .. تحذير
سقوط شظايا مقذوف على منزل في بني كنانة ولا إصابات
مواطن ينقل أجزاء مسيرة متفجرة بسيارته لتسليمها .. والأمن يحذر