تقنية جديدة تتنبأ بالوفاة المبكرة والخرف
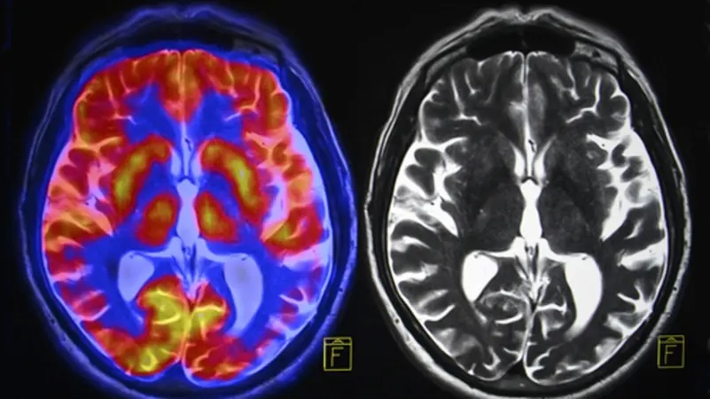
السوسنة - توصل فريق من الباحثين إلى طريقة جديدة لقياس سرعة الشيخوخة البيولوجية لدى الإنسان، باستخدام صورة واحدة للدماغ عبر تقنية التصوير بالرنين المغناطيسي، وفقًا لدراسة نُشرت في دورية "Nature Aging" ونقلها موقع "Live Science".
وأوضح الباحثون أن هذه الأداة الجديدة تتيح التنبؤ بمخاطر الإصابة المستقبلية بضعف الإدراك والخرف والأمراض المزمنة، مثل أمراض القلب والسكري والوفاة المبكرة، بناءً على تحليل بنية الدماغ.
وقال الدكتور أحمد الحريري، أستاذ علم النفس وعلم الأعصاب في جامعة ديوك، إن الدراسة تقدم "طريقة جديدة لقياس سرعة شيخوخة الشخص في أي لحظة"، مشيرًا إلى أن التقدم السريع في السن يرتبط بزيادة خطر الإصابة بعدة أمراض مزمنة.
واعتمد الفريق في تطوير أداته على بيانات من دراسة دنيدن، التي تابعت أكثر من ألف شخص منذ ولادتهم في نيوزيلندا عامي 1972 و1973 وحتى منتصف العمر، حيث خضع المشاركون لـ19 تقييمًا صحيًا شمل القلب والدماغ والكبد والكلى.
وحلل الباحثون صور الرنين المغناطيسي المأخوذة في سن 45 عامًا، ودرسوا حجم وسمك مناطق الدماغ المختلفة ونسبة المادة البيضاء إلى الرمادية، باستخدام خوارزمية تعلم آلي. ثم قارنوا هذه البيانات بمؤشرات التدهور البدني والإدراكي، وسمات الوجه المرتبطة بالشيخوخة، مثل التجاعيد.
وأطلق الفريق على النموذج الجديد اسم "سرعة دنيدن للشيخوخة المحسوبة من التصوير العصبي"، وهو امتداد لأداة سابقة طوّروها باسم DunedinPACE، التي تعتمد على تحليل الميثلة – وهي علامات كيميائية ترتبط بجزيئات الحمض النووي – لتقدير وتيرة الشيخوخة.
وأكد الباحثون أن النموذج الجديد يمكن استخدامه حتى في غياب البيانات الجينية، مما يفتح المجال أمام تطبيقه في دراسات واسعة النطاق. وقد اختُبر النموذج على أكثر من 42 ألف صورة دماغية من البنك الحيوي البريطاني، و1700 صورة من مبادرة التصوير العصبي لمرض الزهايمر، و369 صورة من مجموعة BrainLat في أميركا الجنوبية، وأثبت دقة مماثلة للمقاييس السابقة.
وقال الدكتور دان هندرسون، أستاذ الطب في جامعة هارفرد، إن نجاح النموذج في تحليل بيانات متنوعة يمثل "فوزًا كبيرًا للباحثين"، مشيرًا إلى إمكانية استخدامه مستقبلًا لتحسين التدخلات الطبية الفردية.
اقرأ ايضاً:
وسم نتنياهو مات يتصدر واختفاء يربك الاحتلال .. ماذا يحدث
السيسي: مصر تبذل جهودا لإخماد نيران الحرب في المنطقة
الحكومة الأسترالية: 3 لاعبات إيرانيات يعُدن إلى إيران بعد طلب اللجوء
زعيم كوريا الشمالية يشرف على تجربة إطلاق قاذفات صواريخ متعددة
الإمارات تدين الهجوم على قنصليتها في كردستان العراق
مصدر لبناني: الاعتراف بإسرائيل سابق لأوانه
موجة غبارية كثيفة تؤثر على الطفيلة والطريق الصحراوي وتتجه نحو العاصمة عمان
مستشار رئيس الإمارات: إيران أخطأت البوصلة
منطقة الجبيهة تسجل أعلى كمية هطول مطري بمقدار 10.5 ملم
فوز مثير للوحدات على الحسين إربد بدوري المحترفين
تحذير : تراكم البَرَد يهدد سلامة السائقين على طريق شويعر–الزرقاء
إسرائيل تبلغ الولايات المتحدة بنفاد صواريخها الاعتراضية
غارات إسرائيلية مكثفة تستهدف بلدات عدة في جنوب لبنان
حروب تبادل الأماكن في الشرق الأوسط: عندما تسبق الجغرافيا النار
جلسة حوارية في اليرموك عن تمكين المرأة
صدارة مسلسلات رمضان تشعل أزمة بين مي عمر وياسمين
ولي الدم في القيادة الإيرانية: الحرب تتجه نحو الانتقام
التنمية المستدامة في اليرموك يطلق برنامج "سفراء الاستدامة"
الدول العربية تحذر .. إغلاق مضيق هرمز يهدد الاقتصاد العالمي وأمن الطاقة
موعد التسجيل لامتحان الثانوية العامة 2026
نقل شيرين عبد الوهاب للمستشفى: ما السبب
الطرود البريدية والتجارة الإلكترونية تعمل بشكل اعتيادي
الخروج إلى البئر عودة جمال سليمان في عمل تتنازعه الخطوط السردية
طرق التعامل مع الارتجاع المعدي المريئي خلال الصيام
بمشاركة الأردن .. بدء اجتماع جامعة الدول العربية الوزاري
الملك يطلق تحذيراً عاجلاً… والأراضي الفلسطينية تغلي
تطورات الحالة الصحية للفنان هاني شاكر